แบ่งหลอดสวนตามลักษณะการใช้งานได้ 2 กลุ่มใหญ่คือ
หลอดสวนสำหรับฟอกเลือดชนิดชั่วคราว (Temporary dialysis catheter)
| ภาพตัวอย่างหลอดสวนสำหรับฟอกเลือดชนิดชั่วคราว |
![]() |
| ภาพหลังใส่หลอดสวนสำหรับฟอกเลือดชนิดชั่วคราว จะเห็นว่าสายโผล่จะรูที่ใส่สายโดยตรง ไม่มีการทำอุโมงให้ส่วนของสายลอดผ่าน (Non-tunnel, Non-cuffed) |
หลอดสวนสำหรับฟอกไตชนิดถาวร (Permanent dialysis catheter) หรือที่เรียกกันติดปาก ว่า Perm Cath.
มีหลายชนิด เช่น
รุ่น Titan ของบริษัท Medcomp
รุ่น Split Stream ของบริษัท Medcom
มีหลายชนิด เช่น
รุ่น Titan ของบริษัท Medcomp
![]() |
| ภาพตัวอย่างหลอดสวนสำหรับฟอกเลือดชนิดถาวร รุ่น Titan ของบริษัท Medcomp สายเป็นเส้นเดียวแต่แบ่งเป็นสองช่องสำหรับดูดเลือดออกและนำเลือดเข้า ปลายของช่องเปิดจะเหลื่อมกันเล็กน้อย |
รุ่น Split Stream ของบริษัท Medcom
![]() |
| ภาพตัวอย่างหลอดสวนสำหรับฟอกเลือดชนิดถาวร แบบ Split stream โดยที่ปลายหลอดสวนสามารถฉีกให้แยกห่างออกจากกันได้ |
![]() |
| ภาพตัวอย่างหลอดสวนสำหรับฟอกเลือดชนิดภาวร รุ่น Tesio หลอดสวนสองเส้นแยกกันเด็ดขาด |
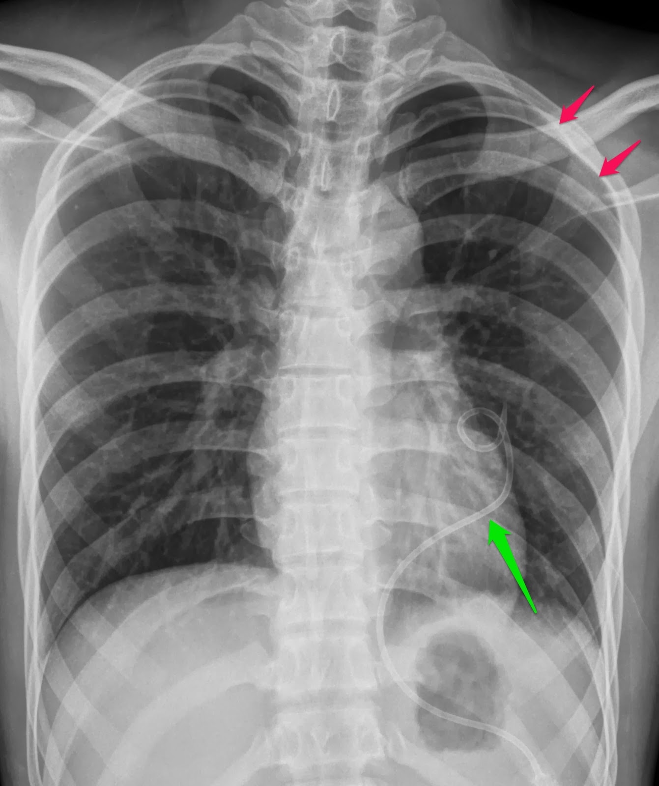
ตัวอย่างภาพผู้ป่วยหลังการใส่สายชนิด Tunneled cuffed double lumen catheter เป็นดังต่อไปนี้
![]() |
| ภาพตัวอย่างหลังใส่หลอดสวนสำหรับฟอกเลือดชนิด Tunneled Cuffed Double lumen จะเห็นว่ามีส่วนที่ลอดใต่ผิวหนัง (ส่วนที่โค้งตอนบน) และบางส่วนของสายโผล่ออกคนละจุดกับจุดที่หลอดสวนเข้าหลอดเลือดดำ |
การประเมินผู้ป่วยก่อนทำหัตถการ
ประวัติ
- มีประวัติโรคลิ่มเลือดในหลอดเลือดดำของแขนขาหรือไม่
- เคยสหลอดสวนเพื่อฟอกไตหรือหลอดสวนชนิดอื่นมาก่อนหรือไม่
- ตำแหน่งที่เคยใส่หลอดสวนหรือเคยใส่ Pacemaker
- ขณะนี้ใส่หลอดสวนอยู่หรือไม่ คอด้านซ้ายหรือขวา ไหล่ด้านซ้ายหรือขวา ขาหนีบด้านซ้ายหรือขวา
- ถ้าเคยใส่มาก่อนเคยเกิดภาวะแทรกซ้อนหรือไม่เช่น หัวใจเต้นผิดจังหวะ เกิดลิ่มเลือดในหลอดเลือดดำส่วนกลางหรือเคยติดเชื้อหรือไม่
- มีประวัติเลือดหยุดยากหรือภาวะผิดปกติของการแข็งตัวของเลือดหรือไม่
- เคยได้รับอุบัติเหตุของแขน ไหล่ คอ หรือไม่
- รับประทานยาต้านเกร็ดเลือด (antiplatelets) เช่น Copridogrel (Plavix), Ticlopidine (Ticlid) หรือไม่
- รับประทานยาป้องกันไม่ให้เลือดแข็งตัว เช่น Warfarin (Coumadin) หรือฉีดยากลุ่ม Heparin หรือไม่
การตรวจร่างกาย
- แขน คอ หรือหน้าอกมีการติดเชื้อใดๆ หรือไม่
- แขนบวมหรือไม่
- มีภาวะผิดปกติของทรวงอกหรือหลอดเลือดหรือไม่
- มีก้อนที่คอ หน้าอก ปอด หรือใน Mediastinum หรือไม่
- มีน้ำในช่องเยื่อหุ้มปอดหรือไม่
การตรวจทางห้องปฏิบัติการและเอกซเรย์
- การตรวจนับเม็ดเลือดขาว (White blood cell count)
- ตรวจนับเกร็ดเลือด (Platelets count)
- ตรวจการแข็งตัวของเลือด (Bleeding time, PT, INR และ PTT)
- เอกซเรย์ปอด (บางครั้ง)
ข้อบ่งชี้ (Indication)
- ใช้ในผู้ป่วยที่เป็นไตวายเฉียบพลันที่จำเป็นต้องได้รับการฟอกเลือด เช่น ผู้ป่วยที่ได้รับอุบัติเหตุที่เกิดภาวะไตวายเฉียบพลันซึ่งมักต้องการเพียงการใส่หลอดสวนชนิดชั่วคราวเพื่อฟอกเลือดและรอเวลาที่ไตอาจกลับมาทำงานได้ตามปกติซึ่งมักใช้ระยะเวลาประมาณ 2-3 สัปดาห์
- ใช้ในผู้ป่วยที่เป็นไตวายเรื้อรังระยะสุดท้ายที่มีอาการของภาวะ uremia ที่จำเป็นต้องได้รับการฟอกเลือดแบบเร่งด่วน
- ใช้ในผู้ป่วยที่ได้รับการผ่าตัด internal arteriovenous fistula (AVF) หรือ ทำผ่าตัด interposition arteriovenous graft (AVG) ที่ยังไม่พร้อมจะใช้ (ยังไม่ Mature) แต่จำเป็นต้องได้รับการฟอกเลือด
- ใช้ในผู้ป่วยที่มีข้อห้ามในการทำ Peritoneal dialysis เช่น เคยผ่าตัดหน้าท้องมาหลายครั้ง
- ใช้ในผู้ป่วยที่ทำการล้างไตผ่านหน้าท้องที่มีการติดเชื้อในช่องท้องอยู่
- ไม่สามารถทำ arteriovenous fistula ได้ เช่นหลอดเลือดแดงมี severe atherosclerosis หรือมีปัญหาแขนขาขาดเลือดอยางรุนแรง
- ต้องการพักหลอดเลือดดำหรือหรือหลอดเลือดเทียมที่ใช้แทงเพื่อฟอกเลือดชั่วคราว เนื่องจากมีภาวะแทรกซ้อนเช่น มีการติดเชื้อที่หลอดเลือดเทียมหรือมีอาการบวมช้ำเป็นจ้ำๆรอบๆหลอดเลือดเป็นต้น
- ใช้ในผู้ป่วยที่กลัวเข็ม เพราะการทำ AVF หรือ AVG ต้องมีการแทงเข็ม 2 เข็มต่อการฟอก 1 ครั้ง
- ใช้ในผู้ป่วยที่ผ่านการผ่าตัดหลอดเลือดเพื่อฟอกเลือดทั้งแขนและขาจนไม่มีที่ให้ทำแล้ว
ข้อห้าม (Contraindication)
ไม่มีข้อห้ามที่แน่นอนตายตัวในการใส่หลอดสวนเพื่อฟอกเลือดแต่ไม่ควรทำหรือควรระมัดระวังในผู้ป่วยที่มีภาวะดังต่อไปนี้
ไม่มีข้อห้ามที่แน่นอนตายตัวในการใส่หลอดสวนเพื่อฟอกเลือดแต่ไม่ควรทำหรือควรระมัดระวังในผู้ป่วยที่มีภาวะดังต่อไปนี้
- มีการติดเชื้อในกระแสเลือดหรือบริเวณที่จะทำมีแผลติดเชื้อแต่อาจเลี่ยงไปแทงบริเวณอื่นได้
- ภาวะเลือดไม่แข็งตัวหรือเกร็ดเลือดต่ำมากควรจะแก้ไขให้เรียบร้อยเสียก่อนจึงจะมาทำ
- ผู้ป่วยไม่ร่วมมือไม่ว่าจะเป็นจากอารมณ์ไม่ปกติหรือไม่ค่อยรู้สึกตัว
เทคนิคการใส่หลอดสวน
สำหรับภาพวิธีการใส่หลอดสวนยังไม่สมบูรณ์ ขอให้ดูจากวิดีโอ ของเว็บอื่นก่อน ดังต่อไปนี้
ตัวอย่างที่หนึ่ง วิดีโอแสดงการใส่หลอดสวนสำหรับฟอกเลือดชนิดชั่วคราว
ตัวอย่างที่หนึ่ง วิดีโอแสดงการใส่หลอดสวนสำหรับฟอกเลือดชนิดชั่วคราว
ตัวอย่างที่สอง วิดีโอแสดงการใส่หลอดสวนเทคนิคเดียวกับ หลอดสวนรุ่น Titan
ตัวอย่างที่สาม วิดีโอแสดงการใส่หลอดชนิด Split stream
หากเปิดวิดีโอไม่ได้ให้ลองดูจาก ลิงค์ youtube ข้างล่างนี้
การใส่หลอดสวนชนิด split stream
หากเปิดวิดีโอไม่ได้ให้ลองดูจาก ลิงค์ youtube ข้างล่างนี้
การใส่หลอดสวนชนิด split stream
ตัวอย่างที่สี่ วิดีโอแสดงการใสหลอดสวนชนิด Tesio
ภาวะแทรกซ้อนที่พบบ่อย
ภาวะแทรกซ้อนจากการใส่หลอดสวนชนิดใชัชั่วคราวพบประมาณ 30-50%
ภาวะแทรกซ้อนจากการใส่หลอดสวนชนิดถาวรพบประมาณ 20-30%
โดยแบ่งออกเป็น 3 ระยะคือ
ภาวะแทรกซ้อนจากการใส่หลอดสวนชนิดใชัชั่วคราวพบประมาณ 30-50%
ภาวะแทรกซ้อนจากการใส่หลอดสวนชนิดถาวรพบประมาณ 20-30%
โดยแบ่งออกเป็น 3 ระยะคือ
- ระยะเฉียบพลัน ได้แก่ Pneumothorax, arterial puncture, arterial cannulation, air embolism, malposition, bleeding from the subcutaneous tunnel
- ระยะกึ่งเฉียบพลัน ได้แก่ malposition, infection
- ระยะหลัง ได้แก่ nonfunction, fragmentation, infection
การถอดหลอดสวน
กรณีที่ไม่มีความจำเป็นต้องใช้หลอดสวนสำหรับฟอกเลือดอีกต่อไป ก็ควรจะผ่าตัดถอดหลอดสวนออกจากร่างกายเพื่อมิให้เป็นแหล่งเพาะเชื้อให้เสี่ยงต่อการติดเชื้อในกระแสเลือด
การถอดหลอดสวนสำหรับฟอกเลือดแบบชั่วคราว
- เตรียม dressing set และกรรไกรตัดไหม (หรือใบมีดเบอร์ 11)
- หลังจากถอดผ้าก๊อสพันสายและที่ผิดรอยแผลออกหมด ทำความสะอาดผิวด้วยน้ำยา 2% Chlorhexidine
- ตัดไหมที่ยึด suture wing ของหลอดสวนกับผิวหนังให้ขาด เพื่อให้หลอดสวนเป็นอิสระจากผิวหนัง
- ค่อยๆดึงสายออกจากหลอดเลือด เมื่อปลายของหลอดสวนใกล้จะโผล่ออกจากหลอดเลือด ให้ใช้มือ (ที่สวมถุงมือ) กดบาดแผลไว้นาน 5 นาทีจนกระทั่งไม่มีเลือดซืมออกจากบาดแผล
- ปิดบาดแผลด้วยผ้าก๊อสและพลาสเตอร์แบบ Pressure dressing technique
- ทำแผลวันละครั้ง โดยตั้งแต่ครั้งที่สองเป็นต้นไปไม่จำเป็นต้อง pressure dressing แล้ว จนกว่าแผลแห้งหายดี
การถอดหลอดสวนสำหรับฟอกเลือดแบบถาวร
- เตรียม set suture และใบมีดเบอร์ 15
- หลังจากถอดผ้าก๊อสพันสายและที่ผิดรอยแผลออกหมด ทำความสะอาดผิวด้วยน้ำยา 2% Chlorhexidine เป็นบริเวณกว้าง ฟอกหลอดสวนจนสะอาด
- ฉีดยาชา (1-2% Lidocaine) เข้าผิวหนังบรเวณที่จะกรีดแผลผ่าตัด ซึ่งกรณีแล้วแต่ว่าตำแหน่งของ cuff ของหลอดสวนอยู่ห่างจากรู tunnel exit site (รูที่หลอดสวนโผล่พ้นออกนอกผิวหนัง) มากแค่ไหน โดยปกติถ้า cuff อยู่ห่างจาก exit site เกิน 2 เซนติเมตร แพทย์จะเลือกผ่า incision ตรงตำแหน่ง cuff ไปเลย แต่ถ้าห่างไมเกินแพทย์จะลองถ่างขยาย exit site ด้วย arterial clamp เพื่อไม่ต้องมีแผลสองแผล
- แพทย์พยายามเลาะพังผืดที่เกาะกับ cuff ให้แยกออกจากกันเด็ดขาด จนแน่ใจว่าหลอดสวนไม่ยึดติดกับเนื้อเยื่อผู้ป่วยแล้ว และทดสอบโดยค่อยๆดึงหลอดสวนออกทีละน้อยได้อย่างสะดวก บางครั้งที่ดึออกยาก แพทย์อาจดูด้วย Fluoroscopy เพื่อดูว่ามีการติดขัดจากอะไร
- เมื่อดึงหลอดสวนออกมาได้หมดแล้ว ก็กดบาดแผลไว้นาน 5 นาทีจนกระทั่งแน่ใจว่าไม่มีเลือดออก ก็พิจารณาเย็บแผล(หรือไม่เย็บหากแผลเล็ก)
- ปิดบาดแผลด้วยผ้าก๊อสและ Pressure Dressing
- ล้างแผลทุกวันวันละครั้งจนกระทั่งแผลแห้ง
- กรณีมีการเย็บแผลให้นัดตัดไหมเมื่อครบเวลา 7 วัน
กลับสู่ หน้า สารบัญบทความ

































